Calcetines sucios lo llevan al hospital
Jamás imaginó que esta prenda de vestir le pudiera causar hasta la pérdida de la vida

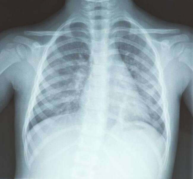
Calcetines sucios lo llevan al hospital / W Radio
En la provincia de Zhangzou de China un hombre contrajo una grave infección en los pulmones.
De acuerdo con información de algunos medios locales el sujeto tuvo que ser hospitalizado debido a la gravedad de los problemas respiratorios que presentaba.
Los informes médicos mostraron que el hombre de 37 años inhaló esporas de hongos al oler sus calcetines sucios diariamente.
Al presentarse en el hospital el sujeto presentaba fuertes dolores de pecho y tos. Desafortunadamente los doctores al hacer su diagnóstico determinaron que presentaba una neumonía fúnguica pulmonar (que incluso pudo haber sido mortal) lo que podía haber sido causada por la inhalación de esporas y hongos mismos que habitan en el calzado sucio.

La forma en que pudo contraerla fue que éste olió de forma constante los calcetines sucios.
Algunos expertos y estudian dichos calcetines para determinar si éstos fueron la causa de la afectación de la salud del sujeto.



